DOMEmini

DOMEmini is an expander that connects to the palate and not the teeth. The expander is for kids who do not breathe well through their nose, have a small palates and may have large tonsils and/or adenoids. The DOMEmini creates a large “DOME-shaped” palate for improved tongue space and a better bite.

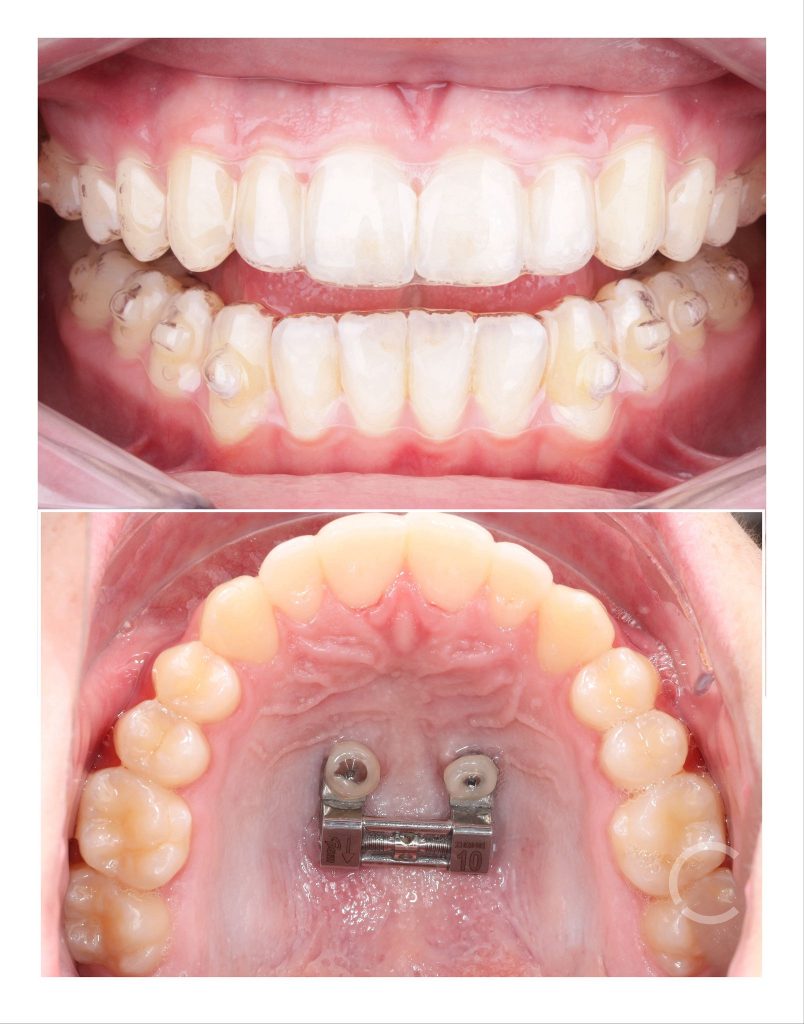
DOMEmini expander

DOMEmini+

The DOMEmini+ is a combination of the DOMEmini expander and clear aligners. This treatment is for kids with a significant number of adult teeth in need of bite correction. DOMEmini+ is the kids version of DOMEzero. The goal of treatment is a DOME-shaped palate, a beautiful smile, good nasal breathing and tongue posture.

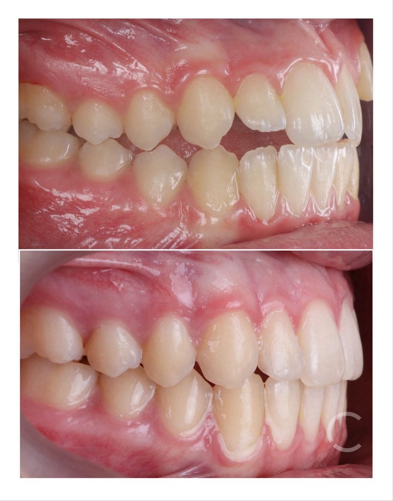
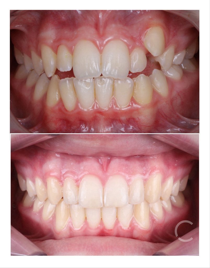
DOMEmini Before and After

DOMEmini before and after
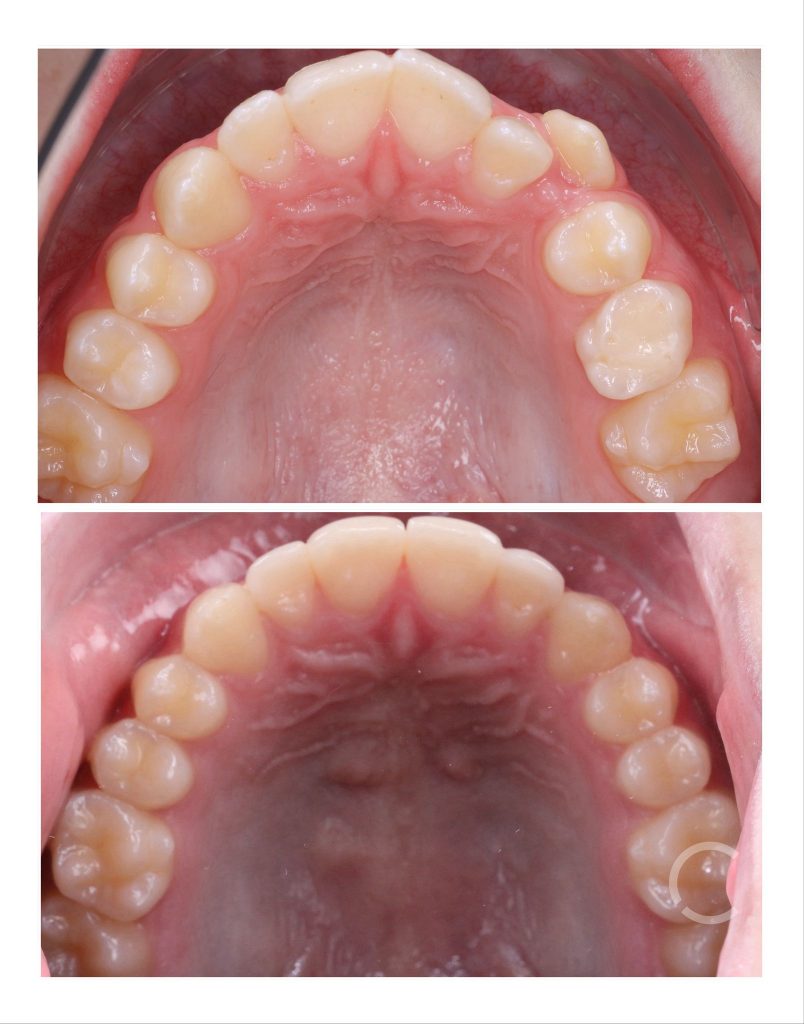
DOMEmini before and after
DOMEmini before and after
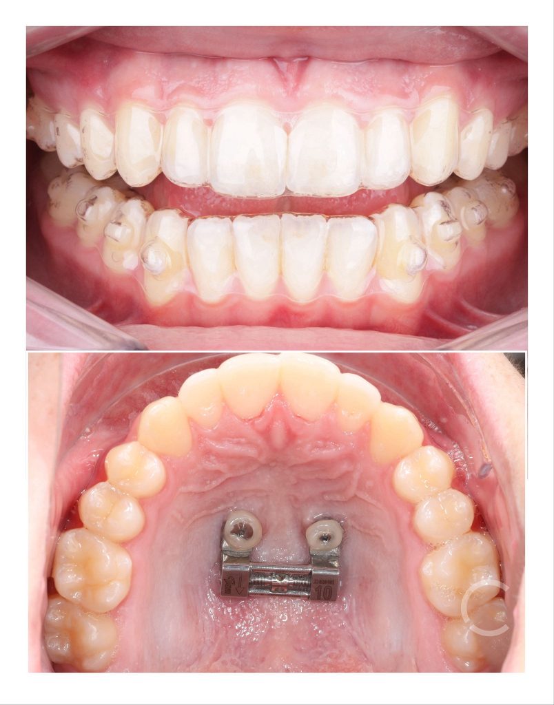
DOMEmini before and after
DOMEmini before and after
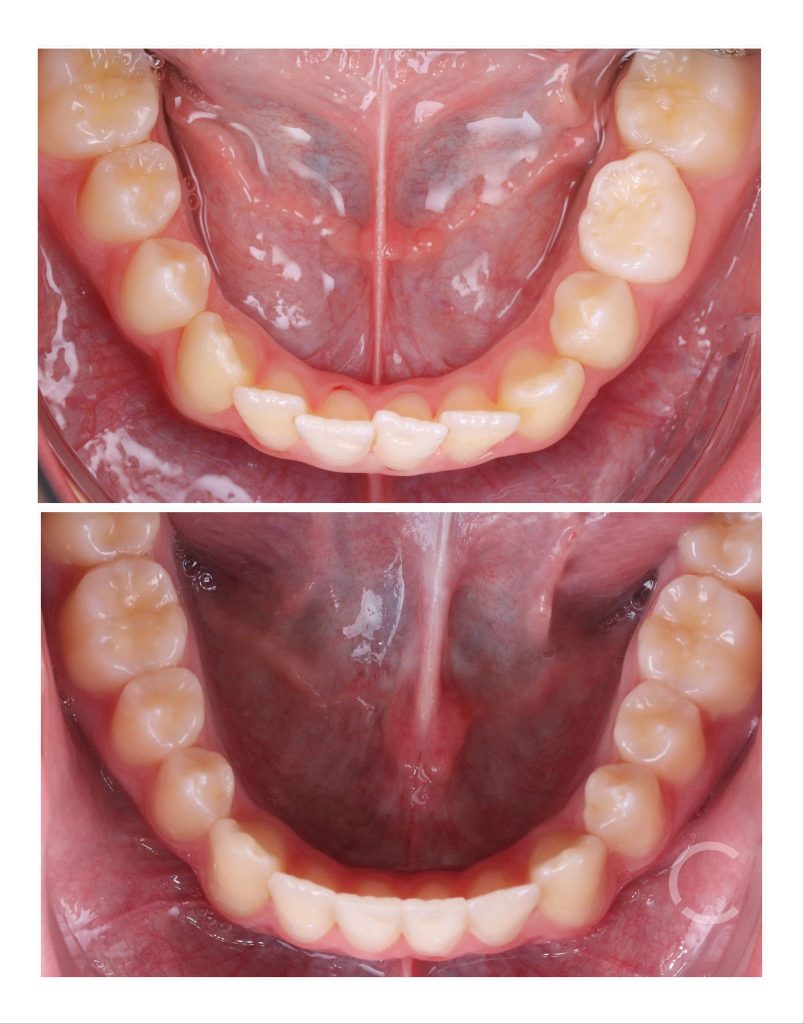
DOMEmini before and after